為什么專家呼吁新冠溯源應盡快調查美國電子煙肺炎?
中新網北京8月4日電(紀行)當前全球聚焦世衛組織第二階段新冠病毒溯源計劃,越來越多科學家呼吁對美國電子煙肺炎進行徹查。長期以來,外界對美國電子煙肺炎和新冠肺炎的關系多有質疑,但美國一直對此避而不談。近日又有新研究指出,美國電子煙肺炎和新冠肺炎有著“剪不斷理還亂”的關系。
2019年7月,美國德特里克堡生物實驗室被關停,與此同時,一場電子煙肺炎席卷美國多州,患者病癥與新冠肺炎癥狀幾乎無異,且致病原因未知。梳理美國電子煙肺炎的患者癥狀和時間節點,不難發現疑點重重。
疑點一,電子煙患者的CT影像和臨床表現并不具有特異性。所謂美國電子肺炎患者,其實是對沒有其他合理診斷證據、吸食電子煙肺炎患者的統稱。這些患者在病發前90天內吸食了電子煙,尤其值得注意的是,部分患者的CT影像特征和臨床表現與病毒性肺炎患者極其相似。

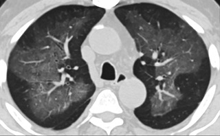
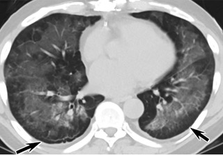
中、下肺軸位CT平掃顯示毛玻璃樣混濁伴胸膜下保留。(同一病人CT影像)

中、下肺軸位CT平掃顯示毛玻璃樣混濁伴胸膜下保留(箭頭)。(同一病人CT影像)
疑點二,中國科研工作者從60篇研究論文中篩選出142位電子煙肺炎患者的250張影像圖片,邀請3位放射科權威專家,對上述全部影像圖片、相關病人臨床信息以及文獻原文進行了仔細全面研究與審查,又有了新的發現。

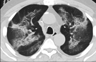
6天后的軸向CT平掃圖像顯示毛玻璃影變為實變和輕度結構扭曲。(同一病人CT影像)

6天后的軸向CT平掃圖像顯示毛玻璃影變為實變和輕度結構扭曲。(同一病人CT影像)
16位被文獻報道為電子煙肺炎的患者被專家判定為“病毒性感染”,即有可能是新冠肺炎的“疑診患者”,其中更有5位臨床癥狀和治療情況相對完整的患者被判定為“中度可疑”。因此在2019年美國報道的電子煙肺炎中存在病毒性感染的病例,而且不排除美國電子煙肺炎中存在新冠肺炎的可能性。
疑點三,這16位患者均來自美國,其中4位患者的患病時間不詳,其余12位的發病時間均在2020年以前。針對美國早期新冠病例可能早于已知時間的報道和報告,美方始終沒有回應。
事實上,隨著多國科學家對新冠病毒溯源的持續研究,已有多項研究結果表明新冠病毒在全球多地的出現時間要早于先前的已知時間。從世界范圍看,新冠肺炎的流行越來越呈現多個源頭、多點暴發的跡象。這也再次證明新冠疫情多點多地溯源有充分的必要。
上述三個疑點,讓外界對美國電子煙肺炎和新冠肺炎的關系再次產生質疑,由此專家也積極呼吁新冠溯源應盡快調查清楚美國電子煙肺炎的真相。
在病毒溯源問題上,美國在要求對別國進行調查的同時,卻又拒絕公開本國相關數據,這種做法難以讓國際社會信服。
如今電子煙肺炎疑團再現,面對質疑,美國與其將疫情政治化、病毒污名化、溯源工具化,不如正視問題、認真對待,響應國際呼吁并積極配合,為盡快推動新冠溯源爭取寶貴時間,為全球抗疫提供科學支持。(完)


